> Pathologie tendineuse du genou
> Lésions méniscales
> Rupture du ligament croisé antérieur (LCA)
> Rupture du ligament croisé postérieur (LCP)
> Ostéochondrite du genou
> Pathologies rotuliennes
> Raideur du genou
> L'arthrose du genou
> Les prothèses de genou
> Récupération rapide après chirurgie du genou (RRAC genou)
> Reconstruction du ligament croisé antérieur en ambulatoire
> Prothèse totale de genou en hospitalisation courte
Ostéochondrite du genou
par le Docteur Franck SCHAISON
Définition
Une ostéochondrite correspond à une atteinte nécrotique plus ou moins étendue de l'os situé juste en dessous du cartilage, qui apparaît chez l'enfant ou l’adolescent et touche préférentiellement le condyle interne du genou. L'étiologie reste inconnue et il s'agit d'une pathologie non exceptionnelle (5 à 21 pour 100 000).
Le pronostic de cette nécrose est fonction de sa taille et de l'âge d'apparition. Plus l'enfant est jeune et plus la lésion est petite et plus les chances de cicatrisation sans séquelles sont élevées. A l'inverse plus la lésion est étendue et survient tard dans la croissance et plus les risques de fragmentation du cartilage, avec libération d'un fragment sont élevés.
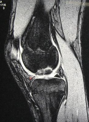
Le bilan d'imagerie (radiographies, IRM , arthroscanner ou arthroIRM) permet de préciser l'étendue
de la lésion, l'état de la surface cartilagineuse, la vitalité du fragment et le potentiel de croissance résiduelle (Figure 1). La classification de Bédouelle en 4 stades permet les choix thérapeutiques (Figure 2).

Figure 1 : Radiographies (à gauche) et IRM (à droite) d'une ostéochondrite du condyle interne chez un garçon de 14 ans

Figure 2 : classification de Bedouelle
(Stade 1 : lacune, Stade 2 : nodule condensé, Stade 3 : grelot avec ouverture du cartilage, Stade 4 : fragment libre détaché avec niche vide)
Quel traitement proposer?
Il dépend de l'état du cartilage et du potentiel de cicatrisation :
- Avant l'âge de 11-12 ans, le traitement est le plus souvent orthopédique avec arrêt de toute activité sportive pour 6 mois.
- Entre 12 ans et la fermeture du cartilage de croissance (14 ans chez les filles, 15 ans chez les garçons), le traitement conservateur doit être proposé si le cartilage est continu (stades 1 et 2) et si la vitalité du fragment est bonne en IRM. Si sa vitalité est douteuse, on proposera sous arthroscopie des perforations à la mèche fine du fragment pour aider à la revascularisation. Si le cartilage se fissure ou si le fragment est partiellement détaché (stade 3), une fixation en compression à l’aide de mini vis enfouies dans le cartilage est proposé (Figure 3).

Figure 3 : fixation par vis enfouies d’un fragment d’ostéochondrite
- Après fermeture du cartilage de croissance et pour les stades 3 et 4, des greffes ostéochondrales en mosaïque (mosaïcplastie) sont réalisables à ciel ouvert ou sous arthroscopie pour la réparation de pertes de substances du condyle (Figure 4).

Figure 4 : extraction d'un séquestre d'ostéochondrite et prélèvement de 3 greffes ostéochondrales cylindriques (photo de gauche), fixées en mosaïque dans la niche